Hospital del Trauma
"Dr. Juan Manuel Giagni"
Tel: 0 21 204800
0992 867411
Hospital de Clínicas
Universidad Nacional de Asunción
Av. Mcal. López e/ Cruzada de la Amistad Campus San Lorenzo
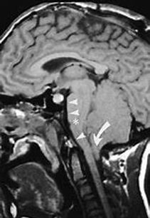
Malformación de Chiari
Escrito por Dr. Marcelo Rivas
Publicado: 17/06/2020
Que es ?
Es una malformación congénita que se caracteriza por varias anomalías estructurales del Sistema Nervioso Central. La más llamativa y que determina en general el motivo de consulta es la herniación de una porción de cerebelo, las amígdalas cerebelosas, a través del foramen magno provocando de esta manera la compresión del bulbo raquídeo y el sufrimiento de los nervios craneanos que se originan en él.
Cuantos tipos existen ?
Existen varios tipos de Malformación de Chiari:
-
Chiari tipo I se caracteriza por el descenso de las amígdalas por debajo del foramen magno
-
Chiari tipo II presenta un descenso muy importante de las amígdalas cerebelosas, desaparición del 4 ventrículo y la cisterna magna, y en la mayoría de los casos de hidrocefalia. El Chiari II se presenta como parte de la evolución de un paciente portador de mielomeningocele.
-
Chiari tipo III Presenta todo lo anterior y además la presencia de un encefalocele occipital. Esta anomalía anatómica debe ser tratada quirúrgicamente cuando existen síntomas de compresión del bulbo raquídeo
-
Chiari tipo IV se denomina hipoplasia cerebelosa. Muy rara aparición. Caracterizada por la ausencia del cerebelo y partes del cráneo y médula cervical expuestas. Tiene alta moralidad
-
Tipo O se denomina a la presencia de todo el cuadro clínico de la malformación de Chiari no existiendo en los estudios de imagen ninguna anormalidad de esa índole.


Tratamiento quirúrgico
La cirugía consiste en realizar una ampliación del foramen magno por medio de una craniectomía occipital y ampliación de la duramadre subyacente con un injerto de aponeurosis o periostio de manera a reconstituir la cisterna magna. La cirugía se denomina craniectomía suboccipital

Origen o causas
Algunos han demostrado la presencia de mutaciones en los genes.
También se asocian a la carencia dietaria de algunos nutrientes.
Parece existir asimismo factores relacionados con la herencia genética


